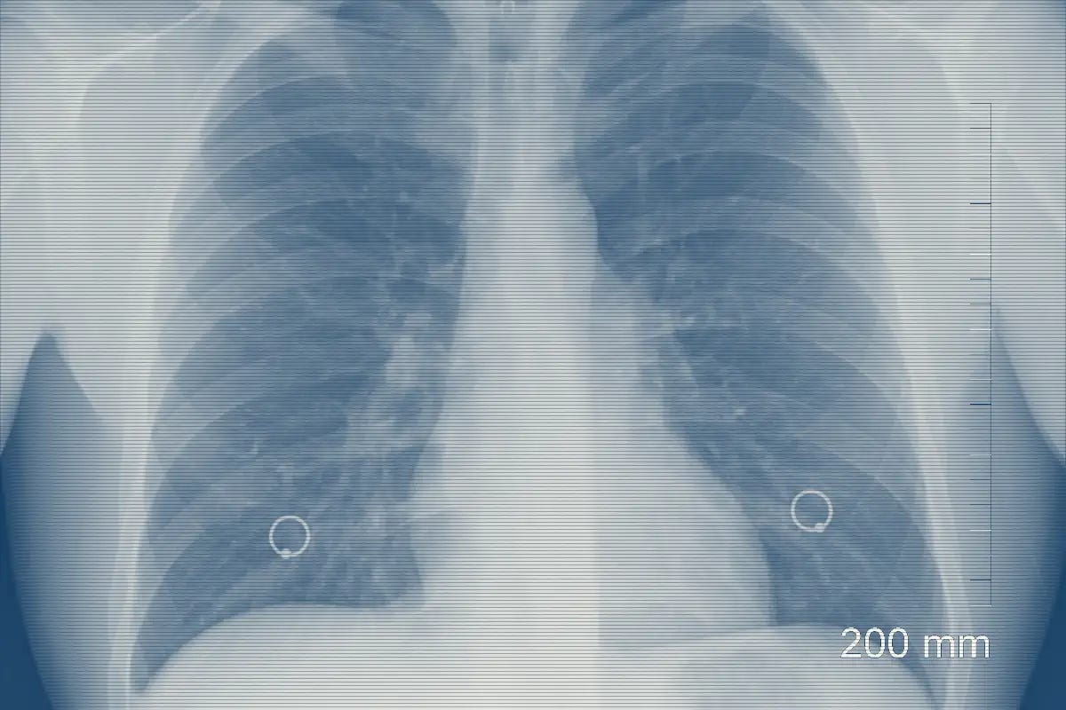
Câncer de Trópico 19: Uma nova respiração
Quando você descobre que não tem mais volta.
O enfermeiro entra no quarto novo, empurrando a cama com meu pai. Na verdade, o lugar parece um salão capaz de hospedar oito pessoas. Os equipamentos são bem mais novos do que os da clínica masculina. Até o cheiro é mais suave.
Mas a maior surpresa do começo da tarde é o Irmão, que nos espera como um fantasma, sem nenhuma expressão em particular. Minha mãe está logo atrás de mim, mas eu é que quebro o gelo:
“E aí? Como você tá?”
“Tudo bem.” Ele se vira pro Pai e lhe faz a mesma pergunta. Recebe a mesmíssima resposta.
Continuo:
“Como você sabia que a gente vinha pra cá?“
“Perguntando, ué.“
“E… Como foi em Floripa?“
“Beleza.”
O Irmão se aproxima da cama do Pai, apoia as mãos na grade lateral, esboça dizer alguma coisa, mas desiste. Minha mãe e as amigas observam igualmente caladas. Provavelmente, como uma boa praticante da intimidade radical, a Mãe já deve ter contado pra elas tudo sobre o irmão ausente. Dá pra sentir no ar o clima de “o que ele irá fazer?”
O Irmão olha novamente pro Pai. Depois …



